송곳니 슬개골 수술 후기│서울 구로구 글로리24시 동물병원

Maltipoo Bonnie가 양측 슬개골 수술을 받은 지 2주가 지났습니다. 수술 직후 처음 내원했을 때는 마음이 아파서 제대로 볼 수 없었고 일주일 내내 고생도 많이 했고 병원에 있었는데 지금은 다행이다 보니 예전에 보니네에 거의 다 왔어. 수술하고 또 재발할까봐 걱정입니다. 마음을 담아 보내드립니다 🙂

슬개골 수술을 앞둔 키퍼들은 걱정이 많으시겠지만 이 리뷰가 조금이나마 위로가 되었으면 합니다.

평소 다니던 구로구 글로리24시 동물병원에서 수술을 받았습니다. 평소에 수의사, 간호사분들이 친절하시고 무리한 진료도 없고 비용도 합리적이어서 만족스러웠습니다.


가엾은 보니는 수술 직후를 돌아본다.

수술 전날 밤 금식과 금욕을 하시고 병원에 가시면 신체가 마취 준비가 되었는지 확인하기 위해 혈액 검사를 하게 됩니다. 혈액검사에 문제가 없어 수술을 받으러 갔고, 4시간 30분 정도 소요되는 긴 수술이 끝났다는 연락을 받고 급히 병원으로 달려갔다.

다행히 수술은 잘 끝났다고 하셔서 그냥 나기만 하면 된다고 하셔서 얼마나 안심이 되었는지 모릅니다.

쉬운 목차

1-3일

글로리 동물병원에서는 입원 기간 동안 하루에 한 번만 반려견의 상태 보고서와 사진을 제공합니다. 다른 병원에 비해 내원 횟수가 적어서 아쉬웠는데 큰 병원이 아니라서 인력이 부족해서 그런건 아닐까 싶었습니다. 그래도 궁금한 점이 있어서 안심했고, 전화를 해보니 담당 수의사가 자세히 설명을 해주었다.


3일째에는 다리 사용을 최소화하고 안정을 유지해야 한다고 하여 깁스만 하고 새장에서 살았습니다. 예민하고 수줍음이 많은 보니는 스트레스를 받았다. .


엄마아빠를 보고 다리가 아파서 일어나려고 펄쩍펄쩍 뛰면서 소리질렀는데 너무 아팠어요. 나는 가지 않았다 🙁

반응형


4-6일

4일째 드디어 깁스를 풀고 재활치료를 시작했다. 레이저 치료와 보행 훈련으로 등 근육이 자라나는데 수줍음이 많고 예민한 보니가 잘 걷지 못한다고 해서 걱정을 많이 했습니다.

원래 7일 입원했는데 엄마의 분리불안증으로 하루정도 일찍 퇴원하고싶어서 수의사님께 말씀드렸더니 보니가 걷기에 익숙해지면 결정하시겠다고 하셨습니다.

다행히 6일차 저녁에 5일차부터 퇴원할 수 있었어요!!


처음에는 걷는 게 무서워서 다리가 땅에 닿으면 소리를 지르고 주저앉았는데 금새 익숙해지고 잘 걸으니 강아지가 수술하는 건가 싶었다.

병원의 주의사항은 다음과 같습니다.

1. 수술 후 2주 동안은 격렬한 움직임을 삼가야 합니다(공놀이, 당기기, 뛰기, 계단 오르기 등 금지)

2. 수술 후 3주 동안은 걷지 않고, 4주째부터 걷기 시작하되, 평지에서 시작하여 점차 시간을 늘려가십시오.

원래 침대에서 자는 강아지가 있었는데 퇴원 후 일주일 동안 거실 바닥에서 지냈습니다.

집에서 공놀이를 좋아하는 보니인데 같이 놀아주는 게 아니라서 우울하고 졸린 모습이 안타까웠지만 다시는 그런 일이 일어나지 않겠다는 마음으로 철저히 무시했다.


수술 부위가 잘 낫기를 기도하고 중간중간 마사지와 온찜질을 해주었다.

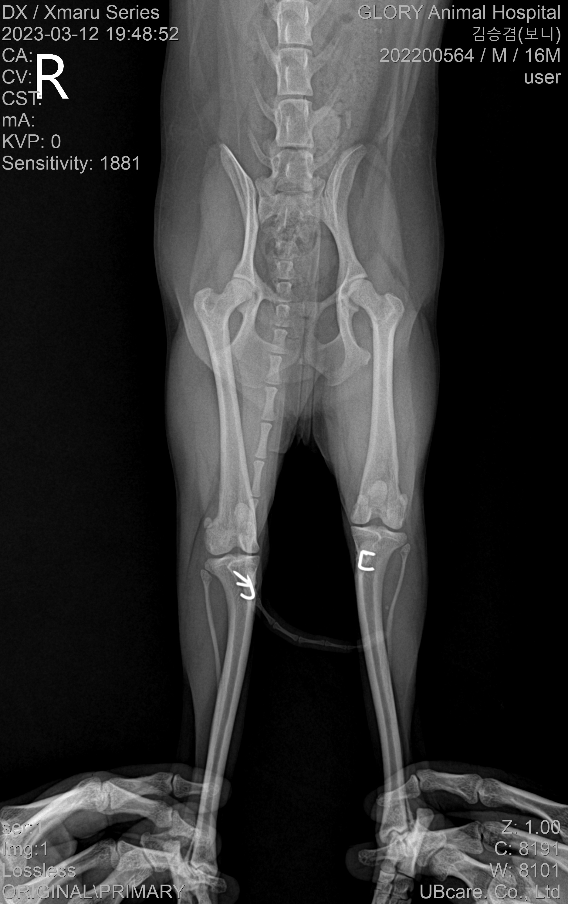
14일

드디어 실을 푸는 날입니다~! 실밥을 풀고 중간점검을 하는 날인데 X-ray 결과 슬개골은 정상위치에 있고 주변 조직에는 문제가 없다고!!


1월 2차 중간점검, 2월 최종점검에서 문제가 없다는 결과가 나왔으면 좋겠습니다. 이 작고 어린 생명이 다시 수술대에 오르지 않도록 계속해서 보살피고 사랑해야겠습니다 🙂


3주만에 엄청 뚱뚱해진 말괄량이 보니의 모습으로 이 글을 마치도록 하겠습니다 🙂

※ 함께 읽으면 도움이 되는 글

Maltipoo Dog 슬개골 탈구 증상 및 예방

Maltipoo Dog 슬개골 탈구 증상 및 예방

저는 (Bonnie)라는 이름의 1년 5개월 된 maltipoo 강아지가 있습니다. 내가 처음 집에 데려왔을 때 그녀는 약했고 한 살도 되기 전에 슬개골 탈구 1단계 진단을 받았습니다. 그는 점프와 피를 아주 잘합니다

dreamlife.co.kr